Tiroid Etkileri
Tiroid bezi, vücudun metabolizmasını düzenleyerek enerji, büyüme ve sıcaklık dengesinde önemli bir rol oynar. Tiroid hormonlarının dengesizliği, çeşitli sağlık sorunlarına yol açabilir. Bu yazıda, tiroid bozukluklarının etkileri ve tedavi yöntemleri ele alınmaktadır.
Tiroid bezi, boynun ön kısmında yer alan ve metabolizmayı düzenleyen hormonlar üreten endokrin bir organdır. Tiroid hormonları, vücudun enerji kullanımını, büyüme ve gelişimi, sıcaklık dengesini ve birçok diğer fizyolojik süreçleri etkiler. Tiroid bezinin işlevselliği, bireylerin genel sağlığı üzerinde önemli bir etkiye sahip olabilir. Bu makalede, tiroid bezinin etkileri, bozuklukları ve bu bozuklukların vücut üzerindeki etkileri derinlemesine incelenecektir.Tiroid Hormonları ve FonksiyonlarıTiroid bezi, esas olarak iki ana hormon üretir: Tiroksin (T4) ve Triiyodotironin (T3). Bu hormonlar, vücut hücrelerinin metabolizma hızını artırarak enerji üretiminde önemli bir rol oynar. Ayrıca, tiroid hormonları şunları etkiler:
Bu hormonların seviyesindeki dengesizlikler, çeşitli sağlık sorunlarına yol açabilir. Tiroid BozukluklarıTiroid bozuklukları, tiroid bezinin normal işlevini etkileyen durumları ifade eder. En yaygın tiroid bozuklukları şunlardır:
Her bir bozukluğun belirtileri ve tedavi yöntemleri farklılık gösterir. HipertiroidizmHipertiroidizm, tiroid bezinin aşırı miktarda hormon üretmesi durumudur. Bu durum, vücudun metabolizmasını hızlandırır ve aşağıdaki belirtilere yol açabilir:
Tedavi genellikle ilaç, radyoaktif iyot tedavisi veya cerrahi müdahale ile yapılır. HipotiroidizmHipotiroidizm, tiroid bezinin yetersiz hormon üretmesi durumudur. Bu, vücudun metabolizmasını yavaşlatır ve aşağıdaki belirtilere neden olabilir:
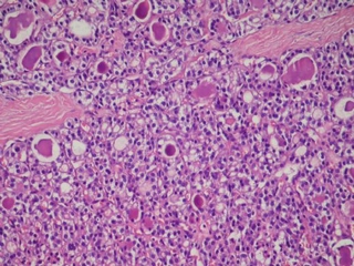
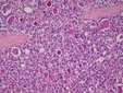
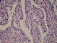
Tedavi genellikle tiroid hormon takviyesi ile yapılır. TiroiditTiroidit, tiroid bezinin iltihaplanmasıdır ve genellikle viral enfeksiyonlar veya otoimmün hastalıklar sonucu ortaya çıkar. Tiroidit, hipotiroidizm veya hipertiroidizme neden olabilir. Belirtileri arasında boyunda ağrı, yutma güçlüğü ve yorgunluk sayılabilir. Tedavi, iltihaplanmanın nedenine bağlı olarak değişir. Tiroid Nodülleri ve KanseriTiroid nodülleri, tiroid bezinde oluşan anormal büyümelerdir. Çoğu nodül zararsızdır, ancak bazıları kanserli olabilir. Tiroid kanseri, tiroid bezinde meydana gelen malign tümörlerdir. Erken teşhis ve tedavi, genellikle iyi bir prognoz sağlar. SonuçTiroid bezi, vücudun genel sağlığını etkileyen kritik bir organdır. Tiroid hormonlarının dengesi, birçok fizyolojik sürecin düzgün işlemesi için gereklidir. Tiroid bozuklukları, bireylerin yaşam kalitesini önemli ölçüde etkileyebilir. Bu nedenle, tiroid sağlığının korunması ve düzenli kontrollerin yapılması büyük önem taşımaktadır. Tiroid ile ilgili sorunların erken tanısı ve uygun tedavi yöntemlerinin uygulanması, bireylerin sağlığını korumak açısından hayati bir rol oynamaktadır. |















































Boynumun iç kısmında bulunan ve küçük bir kelebeğe benzeyen bu tiroid bezi gerçekten vücut fonksiyonlarımın düzgün çalışmasında bu kadar kritik bir rol mü oynuyor? Yani kalp atış hızımdan metabolizmama kadar her şeyi etkiliyor mu? Ve neden özellikle iyot eksikliği olan bölgelerde bu durum daha belirgin hale geliyor?
Merhaba Ömür,
Evet, tiroid bezi vücut fonksiyonlarının düzgün çalışmasında kritik bir rol oynar. Bu küçük kelebek şeklindeki bez, tiroid hormonları üreterek kalp atış hızından vücut sıcaklığına, metabolizmadan enerji düzeylerine kadar birçok hayati fonksiyonu düzenler. Tiroid hormonlarının eksik veya fazla üretilmesi durumunda hipotiroidi veya hipertiroidi gibi sağlık problemleri ortaya çıkabilir.
Metabolizma ve Enerji: Tiroid hormonları, vücudun enerji üretim ve tüketim hızını, yani metabolizmayı yönetir. Bu nedenle, tiroid bezinin düzgün çalışmaması kilo alma ya da verme, yorgunluk gibi sorunlara yol açabilir.
Kalp ve Dolaşım Sistemi: Tiroid hormonları kalp atış hızını ve damarların genişleyip daralmasını etkiler. Bu nedenle, tiroid fonksiyonlarındaki bozukluklar kalp ritmi ve tansiyon problemlerine neden olabilir.
İyot Eksikliği: Tiroid hormonlarının üretiminde iyot kullanılır. Bu nedenle, iyot eksikliği olan bölgelerde tiroid hormonlarının yeterince üretilememesi, tiroid bezinin büyümesine (guatr) ve fonksiyon bozukluklarına yol açabilir. Vücut yeterli iyot alamadığında, tiroid bezi daha fazla çalışarak bu eksikliği telafi etmeye çalışır, bu da tiroid problemlerini daha belirgin hale getirir.
Umarım bu bilgiler senin için faydalı olmuştur, Ömür. Sağlıklı günler dilerim!